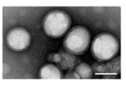
名稱:OMM-NPs
組成:線粒體外膜
粒徑:~100nm
應用:靶向解毒和分子檢測
儲存條件:-4℃
其他說明:密封狀態下保質期半年【主要優勢】1、OMM-NPs在體外可有效保護細胞免受ABT-263誘導產生的細胞死亡和凋亡,同時也能夠在體內緩解由ABT-263造成的血小板減少;2、包覆有OMM的FET傳感器(OMM-FET)可以對抗Bcl-2抗體和小分子激動劑進行檢測和區分。
題目:
Nanomaterial Biointerfacing via Mitochondrial Membrane Coating for Targeted Detoxification and Molecular Detection
文章鏈接:
https://www.sogou.com/link?url=DSOYnZeCC_qqiTNYDsEp-hN55sPA_JdbNUqAS-fQLJqsX17G9sBhdrbAp6VRqT6Q
留言咨詢
|
|
 |
| 生物納米材料前沿 |
 |
| 納米醫學Frontier |
|
溫馨提示:蘇州北科納米供應產品僅用于科研,不能用于人體,不同批次產品規格性能有差異。網站部分文獻案例圖片源自互聯網,圖片僅供參考,請以實物為主,如有侵權請聯系我們立即刪除。
提示說明:納米材料工藝和制備可能會有改變 所有納米材料均支持按需定制 下單前聯系客服確認產品詳細信息。 |